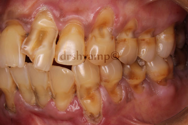
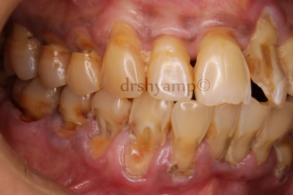
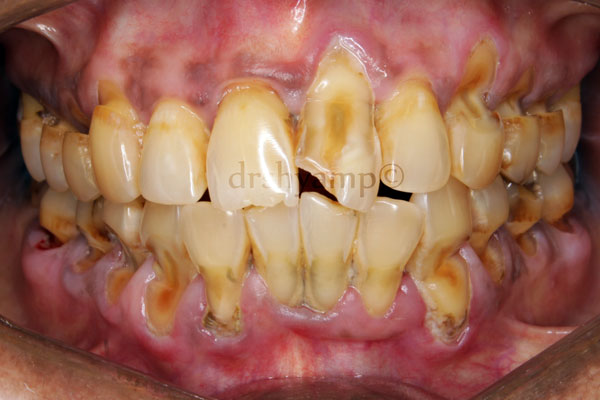
Wasting of the tooth (tooth wear) is defined as any gradual loss of tooth substance characterized by the formation of smooth, polished surfaces, without regard to the possible mechanism of this loss. They have been classified as:
The wear can occur either alone on their own or in combination with others. The lifestyle nowadays is hectic that leads to various habits which in turn are responsible for causing these problems.
Abfraction can be defined as the loss of tooth structure from flexural forces. The teeth have a tendency to flex under pressure and this causes tension on one side of the tooth and compression on the other side of the tooth thereby causing V and C shaped impressions on the sides under tension and compression respectively. This theory is controversial and is yet to be fully proven in research.
Abrasion refers to the loss of tooth substance induced by mechanical wear other than that of mastication. Abrasion results in saucer-shaped or wedge-shaped indentations with a smooth, shiny surface. Improper toothbrushing with an abrasive dentifrice and the action of clasps are common causes of abrasio.n
Horizontal brushing at right angles to the vertical axis of the teeth results in the severest loss of tooth substance. Occasionally, abrasion of the incisal edges results from habits such as holding objects (e.g., bobby pin, tacks) between the teeth.
Attrition is occlusal wear resulting from functional contacts with opposing teeth. A certain amount of tooth wear is physiologic, but accelerated wear may occur when abnormal anatomic or unusual functional factors are present. Significant amount of attrition in young adults is unlikely to occur from functional wear and is probably the result of bruxing / clenching / tooth grinding activity.
erosion is a sharply defined, wedge-shaped depression in the cervical area of the facial tooth surface. Erosion generally affects a group of teeth. Suggested causes include decalcification by acidic beverages or citrus fruits and the combined effect of acid salivary secretion and friction
In general, clinical features of gingivitis may be characterized by the presence of any of the following clinical signs: redness and sponginess of the gums, bleeding on provocation, changes in contour, and presence of calculus or plaque with no radiographic evidence of crestal bone loss.
They inclide:
Treatment can include simple fillings , desensitising pastes, use of night guards and in more severe case root canal traetment and crowns. Your Dentist will be in a better position to explain the treatment modality based on clinical and radiographic examination