Thippasandra & Jeevanbimanagar.
drshyamp@gmail.com
+91 9845213698
Home
About Us
Services
Cosmetic Dentistry
Restorative Dentistry
Oral & Maxillofacial
Periodontics
Dental Implants
Child Dental Health
Orthodontics
Gallery
Clinic Gallery
Case Gallery
Video Gallery
Careers
Contact Us
Book Appointment
×
Book an Appointment
Home
Gallery
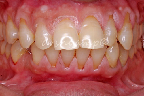
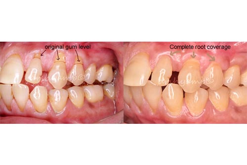
Treatment of exposed root surface
Root coverage procedure
Root coverage procedure
Root coverage procedure
Root coverage procedure
Root coverage procedure
Root coverage procedure
Root coverage procedure
Root coverage procedure
Root coverage procedure
Root coverage procedure