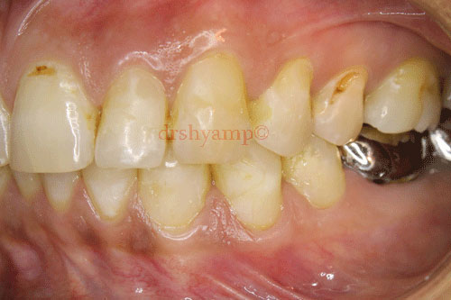
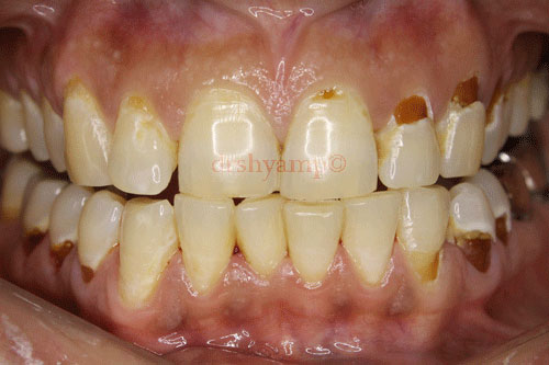
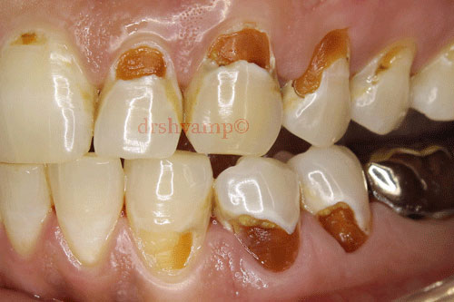
Amlas (Indian gooseberries) are a major ingredient in several herbal tonics as they are reputed to be good for the liver, eyes and stomach. Amlas are the richest known source of vitamin C. The Sweet Amla candy is prepared by soaking 1/2 kg (10-12 pieces) of the fruit in a syrup containing 350gms of sugar. The candy is either chewed or allowed to stay in the mouth. Chewing and swallowing does not allow the sugar to come in contact with the teeth for a long time. However, keeping the candy in the mouth for a prolonged amount of time creates an acidic environment in the oral cavity. This causes the demineralization of the tooth causing it to eventually decay.