Thippasandra & Jeevanbimanagar.
drshyamp@gmail.com
+91 9845213698
Home
About Us
Services
Cosmetic Dentistry
Restorative Dentistry
Oral & Maxillofacial
Periodontics
Dental Implants
Child Dental Health
Orthodontics
Gallery
Clinic Gallery
Case Gallery
Video Gallery
Careers
Contact Us
Book Appointment
×
Book an Appointment
Home
Gallery
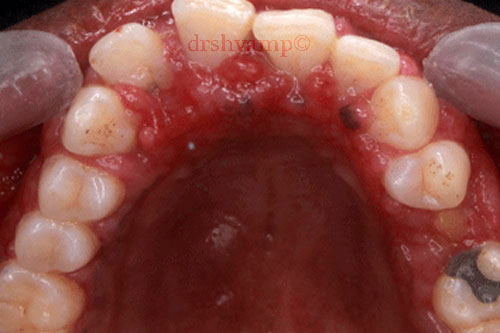
Prgenancy Gingivitis
Prgenancy gingivitis
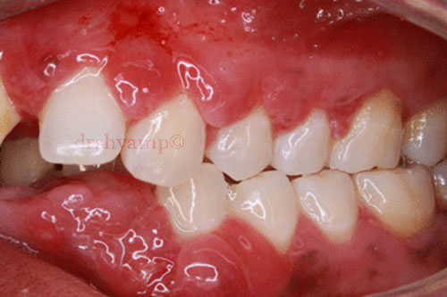
Prgenancy gingivitis
Prgenancy gingivitis
Prgenancy gingivitis
Prgenancy gingivitis
Prgenancy gingivitis